• 25-27 Nguyễn Hữu Lễ, P. An Xuyên, tỉnh Cà Mau
  • Thứ 2 - thứ 6: 08:00 - 19:00 | Thứ 7, chủ nhật: 08:00 - 12:00

Cam kết luôn mang đến những giá trị phục vụ tốt nhất cho khách hàng và bệnh nhân, là nơi lựa chọn để Giữ mãi nụ cười xinh cho bạn.

Thời gian làm việc:

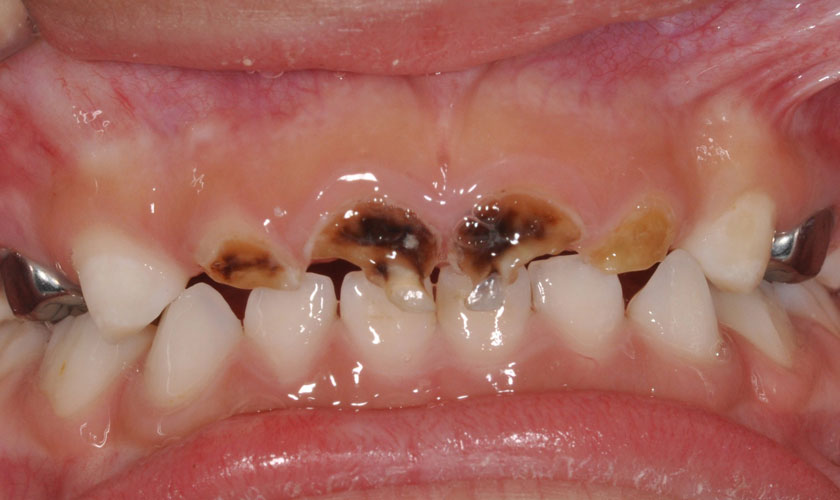
Tủy răng có tác dụng gì? Làm gì để bảo vệ tủy răng?

Tủy răng có tác dụng gì? Làm gì để bảo vệ tủy răng?

Khác với men răng và ngà răng chủ yếu chứa các thành phần chất khoáng thì tủy răng là bộ phận duy nhất của răng chứa các dây thần kinh và mạch máu. Vậy tủy răng có tác dụng gì? Tủy răng cung cấp dưỡng chất để nuôi dưỡng răng, giúp răng chắc khỏe. Đồng thời dẫn truyền cảm giác để giúp chúng ta nhận biết khi có các yếu tố kích thích như nhiệt độ nóng/ lạnh hay khi răng gặp phải những vấn đề bất thường.